Restricted Envelope of Function

Last updated: 3rd April 2026

Written by: Dr Zaeem Jafri BDS

Before we start, you need to know:

  • Your upper upper jaw and teeth are fixed in position, attached to your skull

  • When you move your jaws, it’s only your lower jaw that moves (side/side, up/down, and forward/backwards)

 

The "envelope of function" is a term used to describe the range of natural movement that your lower jaw can make when chewing, speaking, and performing other oral functions. It’s the space that your teeth need to chew properly.

A restricted envelope of function means that this space is limited or disrupted.

When the alignment of the teeth or the way they come together (your bite) restricts smooth, natural movement, it can create a cycle of functional and structural issues. This usually happens when your upper front teeth are retroclined or in a ‘deep-bite’.

A ‘normal’ healthy angle of the upper incisors

Upper incisors that are ‘retroclined’ (pushed back), creating a restricted envelope of function

When your envelope of function is restricted, your lower teeth will rub against your upper teeth unnaturally, which can cause several problems.

Why Does It Matter?

A restricted envelope of function can significantly impact your overall oral health and quality of life. Here’s why it matters:

  1. Chronic Discomfort: When jaw movement is restricted, it often results in pain in the jaw joints, headaches, or muscle soreness known as TMD.

  2. Excessive Tooth Wear: If your teeth are constantly coming together at improper angles or with too much force, they can wear down faster than usual. This can lead to enamel erosion, cracked teeth, or sensitivity.

  3. Difficulty Chewing or Speaking: The restriction makes it hard to perform basic activities comfortably, which can affect eating habits and communication.

  4. Risk of Further Dental Problems: An improper bite or restricted movement may lead to misalignment, causing issues like tooth fractures or increased risk of tooth decay and gum disease because of abnormal pressure distribution.

Even though you may not experience any problems initially, over time, your teeth and jaw joints may begin to deteriorate and cause significant issues. The longer you leave the situation untreated, the more complex eventual treatment will become.

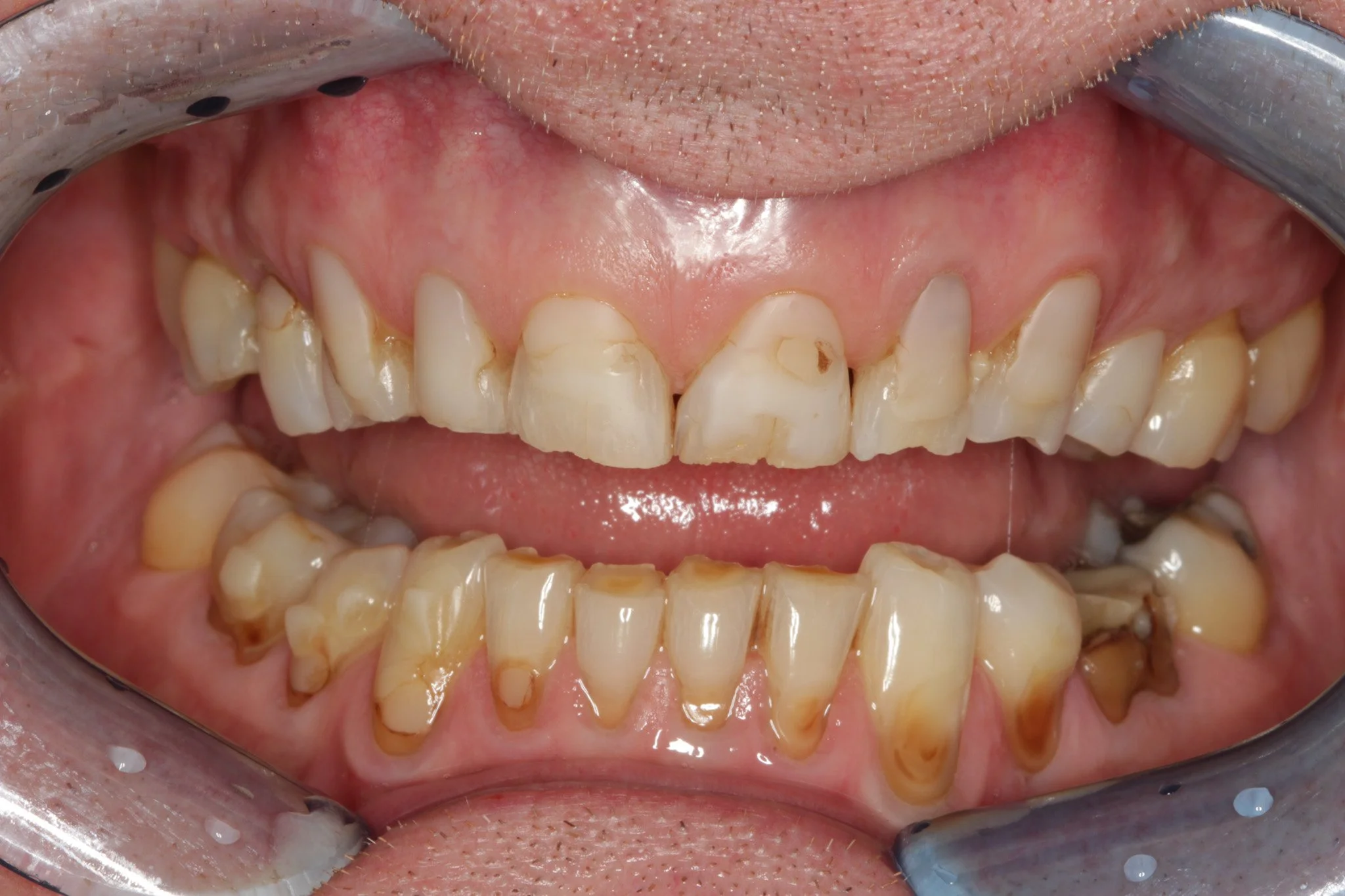
Worn-down teeth due to a restricted envelope of function

Worn-down teeth due to a restricted envelope of function

Treating a Restricted Envelope of Function

Addressing a restricted envelope of function often requires a multifaceted approach that considers both tooth alignment, jaw functiona nd protection of your front teeth.

Fixing the alignment of your teeth

Orthodontic treatment is often a key part of managing a restricted functional envelope. By repositioning the teeth with braces or clear aligners such as Invisalign, we can move them into a position where the bite works more harmoniously with jaw movement.

The aim is not just to straighten the teeth, but to:

  • Tilt the upper front teeth to give more space to your lower teeth and jaw

  • Reduce excessive load on the front teeth

  • Allow the back teeth to share forces more evenly

  • Remove interferences that restrict natural jaw movement

This creates a more stable, functional bite and helps protect the teeth from ongoing wear, chipping, or failure of restorations. In many cases, orthodontics serves as the foundation for further treatment.

Invisalign treatment to fix a minor deep bite

Rebuilding the worn-down front teeth

Once the bite has been stabilised, the worn or damaged front teeth can be rebuilt to restore both function and appearance.

In most cases, this ismsotly done with composite bonding, where tooth-coloured material is added to reshape and strengthen the teeth in a minimally invasive way.

In more severe cases, veneersorcrowns may be needed to provide greater strength and durability.

The aim is not just cosmetic. Rebuilding the front teeth helps:

  • Restore proper guidance for jaw movements

  • Protect the natural underlying teeth from further wear or chipping

  • Improve comfort and overall function

Any restorative work should always be carried out in harmony with the bite to ensure stable, long-lasting results.

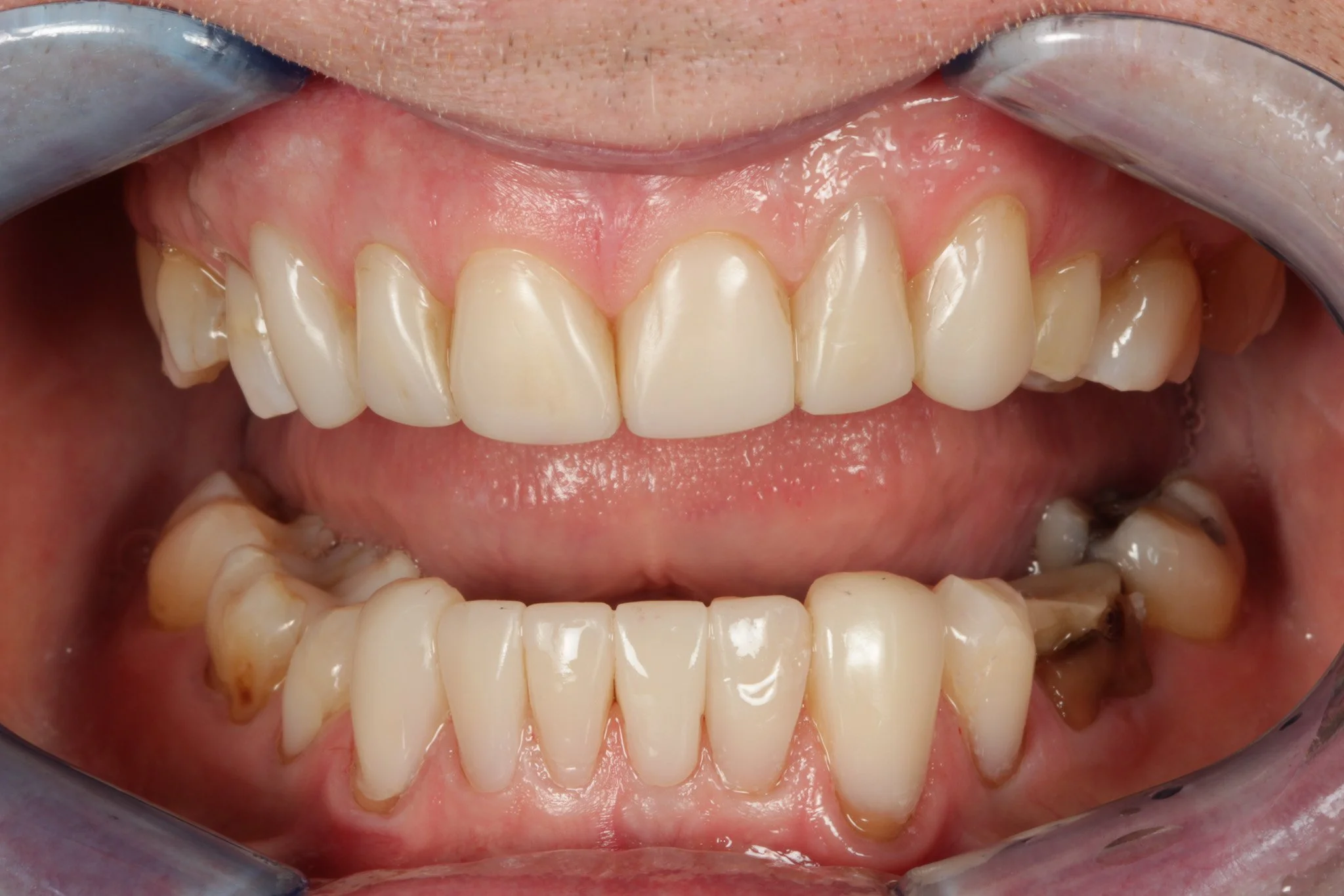
Worn down teeth (due to several reasons)

Teeth restored with composite veneers

Protecting your teeth and restorations long-term

Once the teeth and bite have been stabilised, it is important to protect the result over time.

Custom-made mouthguards or splints are often used to reduce the impact of clenching and grinding, particularly during sleep. These are designed to:

  • Absorb and distribute forces more evenly

  • Protect both natural teeth and any restorations

  • Reduce the risk of further wear, chipping, or fractures

A well-made splint also helps guide the jaw into a more stable position, supporting long-term comfort and function.

Monitoring and Ongoing Care

Treating a restricted envelope of function is not a one-off fix. Maintaining the result requires ongoing care and a level of commitment, but this is what protects the long-term health of your teeth.

  • Retention after orthodontics is essential. Teeth naturally tend to move back over time, so retainers are used to hold them in their new, functional positions. Without this, even well-planned orthodontic treatment can relapse and reintroduce the original problem.

  • Maintenance of restorations is also important. Composite bonding can chip or wear and may need occasional repairs or refreshing. Veneers and crowns are more durable, but they are not permanent and may need to be replaced over time. Monitoring these allows small issues to be addressed early, before they become more significant.

  • Regular dental check-ups allow us to assess how your bite is functioning, check for any signs of wear or instability, and ensure everything remains in balance.

  • Ongoing hygiene care is equally important. Regular hygienist visits help keep the teeth and gums healthy, reducing the risk of gum disease or secondary decay around restorations.

Overall, this is a long-term approach rather than a quick fix. With the right maintenance, we can protect your teeth, preserve the work that has been done, and keep everything functioning comfortably for years to come.

The Importance of Treating This Early

The earlier a restricted envelope of function is identified and treated, the simpler and more predictable the treatment tends to be.

In early cases, we may only need to realign the teeth with orthodontics, allowing the bite to function properly without any further intervention.

If there is already some mild wear, this can often be managed with simple composite edge bonding, rebuilding small areas of lost tooth structure in a minimally invasive way. This avoids the need for more extensive treatments like veneers or crowns.

However, if the problem is left to progress, the consequences can become much more significant:

  • Teeth can wear down to the point where sensitivity or pain develops

  • The nerve of the tooth may become involved, requiring root canal treatment

  • Loss of tooth structure increases the risk of fractures

  • In severe cases, teeth can become unrestorable and may need to be removed

Early intervention is therefore not just about improving the bite, but about reducing complexity, cost, and risk. The sooner the issue is addressed, the more conservative and effective the treatment can be.

Final Thoughts

A restricted envelope of function can significantly affect everyday activities like eating and speaking, and it can also cause considerable discomfort. Thankfully, modern dentistry offers several effective treatment options to restore healthy, comfortable movement.

Early intervention is key to preventing more complications and drastic treatment options in the future. If spotted early you may just need some simple re-alignment of your teeth. If you delay and wait until your teeth are worn away then you will need full reconstruction of your teeth.

If you’re experiencing symptoms like jaw pain, headaches, or difficulty chewing, it’s important to consult a dental professional who can evaluate your bite and recommend the right treatment path for you.

The goal is to bring your jaw, muscles, and teeth back into harmony, improving both your oral health and overall quality of life.

Speak to one of our dentists now

If you have any more questions about deep bites or a restricted envelope of function, click the button below to speak to one of our online dentists.