How To Look After Your Dental Onlay

If you’ve recently had a dental onlay fitted, this guide explains what to expect over the next few days, how to care for it properly, and when you should contact your dentist.

An onlay is a modern, strong, and conservative way to restore a tooth weakened by decay, fracture, or previous dental work. It is designed to protect the remaining natural tooth, preserve as much healthy structure as possible, and prevent fracture. It acts like a dental crown but preserves a lot more tooth structure than traditional crowns.

Like all dental restorations, the long-term success of an onlay depends not only on how it was made and fitted, but also on good aftercare, correct bite forces, excellent cleaning, and regular dental check-ups.

This guide will help you understand how to look after your onlay so it stays comfortable, functional, and long-lasting.

The First 24 - 48 Hours After Your Onlay Is Fitted

It is normal for your tooth and surrounding tissues to feel slightly different for the first day or two after an onlay is fitted. The restoration itself is strong, but your tooth may need a short period to settle.

Eating and biting

  • If you have had anaesthetic, avoid eating until the numbness has completely worn off to prevent damaging your cheeks and tongue

  • For the first 24 hours, try to chew on the opposite side where possible

  • Avoid very hard or sticky foods such as nuts, ice, chewing gum, or toffees

  • Eat slowly and be mindful of how the tooth feels

Once the anaesthetic has worn off and the bonding has fully set, you can return to normal eating, but it is sensible to build back up gradually.

What is normal at this stage

  • The tooth may feel slightly different at first, and it can feel strange; that is normal.

  • Mild tenderness when biting is common

  • Sensitivity to cold can occur

These symptoms should slowly improve over the next few days. If something feels uncomfortable but is improving each day, this is usually part of normal healing.

Bite and Grinding Risk - Why Bite Accuracy Matters

Your onlay has been designed to fit your bite very precisely. Light contact when biting together is normally expected and completely fine. This is known as your normal bite position.

However, heavy contact during grinding or sliding movements places much higher stress on the onlay and the tooth underneath and is one of the most common reasons why onlays come off after being fitted.

How a normal bite should feel

  • A gentle contact on the tooth with the onlay when biting together

  • The surrounding teeth should also be in contact with each other

  • When you gently grind side to side or forwards and backwards, the onlay should not be clashing with the opposing teeth.

How a problematic bite may feel

Problems arise when the onlay is involved during side-to-side or forward grinding movements. These movements are known as excursions, and they generate significantly more force than normal biting and in a sideways motion rather than straight down the axis of your tooth.

If the onlay contacts during these movements, it can lead to the bond underneath the onlay becoming weaker and the onlay eventually failing (coming off or cracking)

Please contact your dentist if:

  • Your bite feels very high - The onlay is the first thing to touch when you bite, and it feels obvious, painful or uncomfortable

  • The tooth is tender or sore after chewing food

  • When rubbing your teeth side to side, the onlay tooth feels like it is taking heavy force and feels uncomfortable

A very small adjustment can dramatically reduce stress on the restoration and greatly increase how long it lasts.

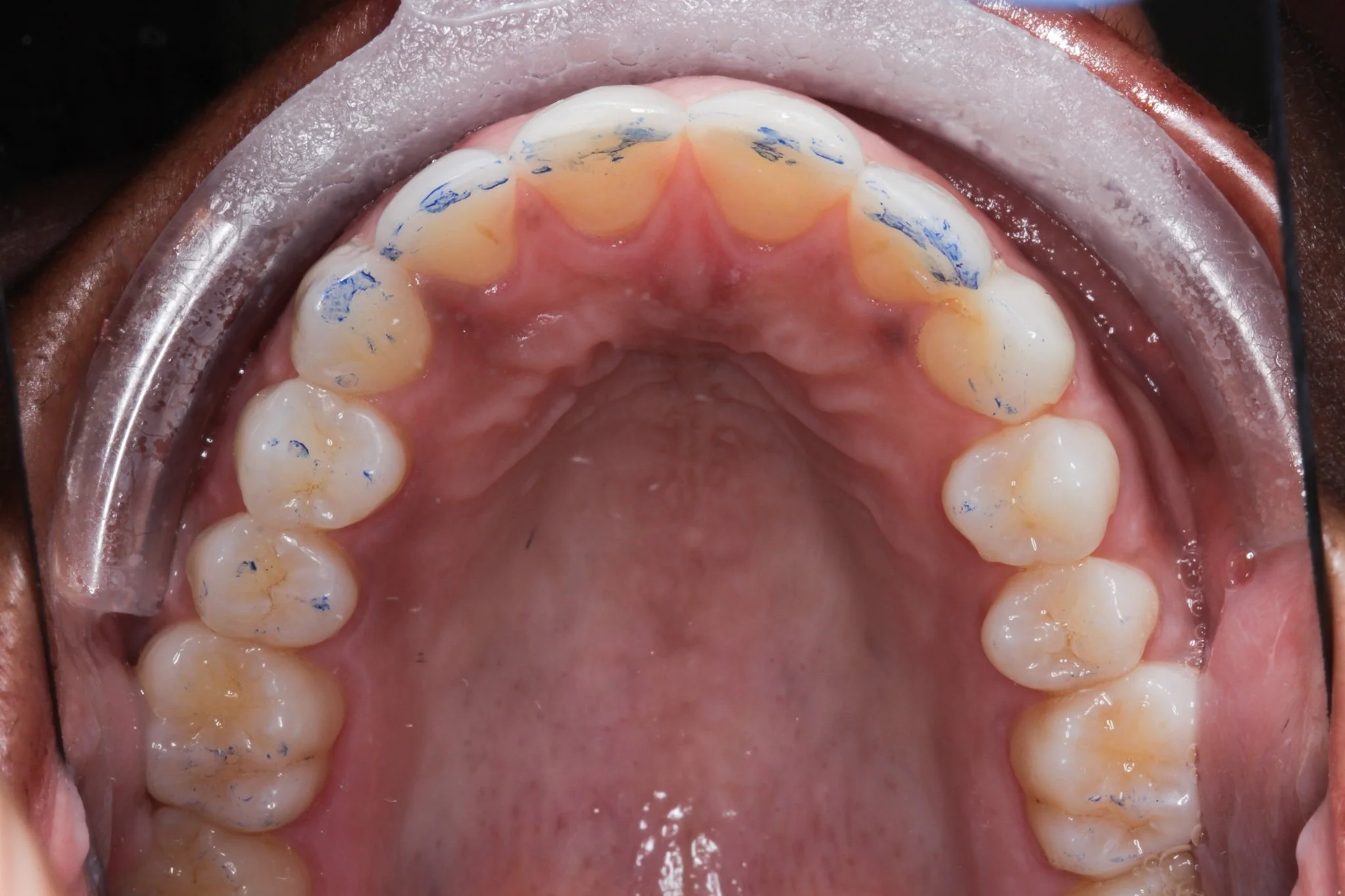
Your dentist will use special articulating paper that marks up specifically where you bite on your teeth, and they will be able to precisely adjust the onlayto fit your mouth.

IT IS VERY IMPORTANT THAT YOU DO NOT TRY TO ADJUST THE ONLY YOURSELF!

Articulating paper used to show where exactly your teeth are touching when you bite

Cleaning and Flossing Around Your Onlay - Essential for long-term success

Keeping the area around your onlay clean is absolutely critical. Although the onlay itself cannot decay, the natural tooth it is bonded to can. The obvious basic advice is to make sure you clean your teeth with a good electric toothbrush twice a day using a fluoride toothpaste.

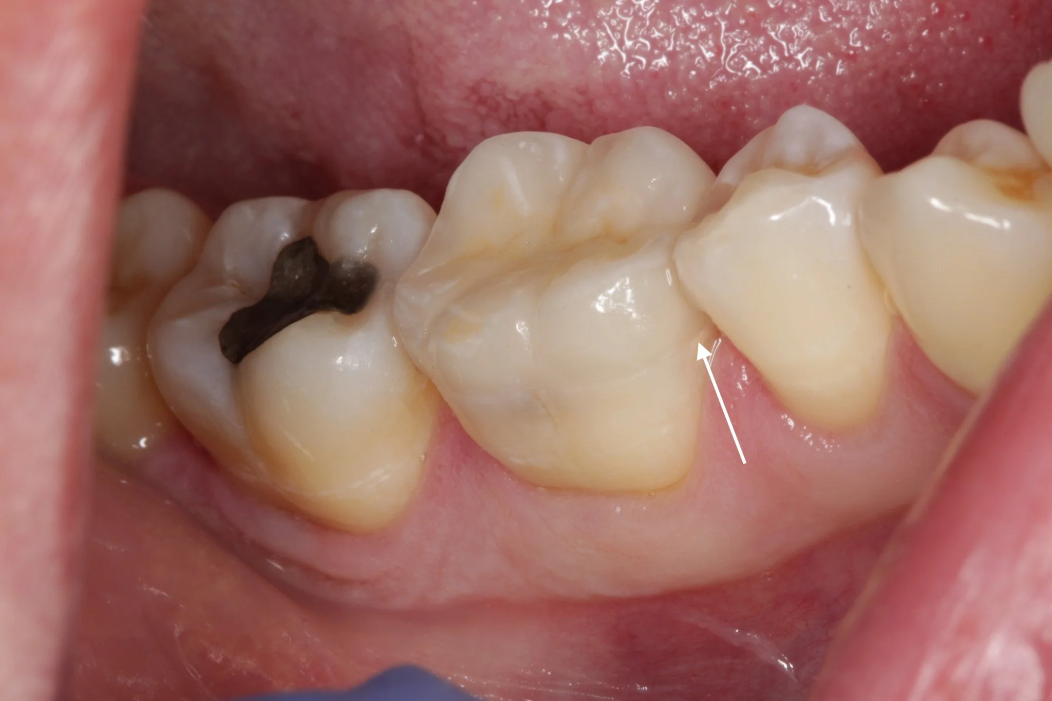
Decay most commonly starts at the edges of the onlay, known as the margins. If plaque builds up here, bacteria can creep underneath the restoration and cause decay that is not always visible.

The margin of an onlay where the onlay meets the natural tooth underneath

Flossing is essential

You must be able to floss around your onlay every day. This clears away any trapped food and bacteria from the margin ensuring that the tooth does not start decaying.

  • Floss should pass through with gentle resistance

  • It should not shred or snap

  • The gaps around the onlay should not feel blocked

If the floss will not go through, this should be checked by your dentist. Sometimes the contact point is too tight, or there is some cement that has been left behind whilst fitting the onlay.

Flossing is the only way to clean the contact points between teeth where decay most often begins. You can use water flossers or interdental brushes as alternatives, but make sure you ask your dentist or hygienist which product is best. It will depend on the exact position of your onlay margin and general dental health.

  • Use floss or interdental brushes daily

  • Clean both sides of the onlay

  • Take extra care around the gum margin

Pain and Sensitivity - What is normal and what is not

It is common for a tooth to feel sensitive after an onlay has been fitted, particularly if the tooth previously had deep decay or extensive work. This does not automatically mean there is a problem.

You may experience:

  • Sensitivity to cold

  • Mild tenderness when biting

  • A dull ache for a few days

These symptoms are usually caused by temporary inflammation of the nerve and should gradually improve each day. In most cases, sensitivity settles within one to two weeks. Taking simple pain relief such as paracetamol or ibuprofen can help if needed, provided these are safe for you.

Please contact your dentist if you notice:

  • Pain that is getting worse rather than better

  • Sharp pain when biting that does not ease

  • Deep throbbing or pulsating pain

  • Pain waking you at night

  • Sensitivity lasting longer than two to three weeks

These symptoms may indicate that the tooth needs further assessment. Either there could be a gap or void at the margins of the onlay, or the nerve in the tooth could be dying. An early review allows problems to be managed before they become more complex.

Why Regular Check Ups Matter

Routine check-ups are extremely important if you have had dental restorations placed, your dentist will assess:

  • The bite and contact points

  • The margins where the onlay meets the tooth

  • Gum health around the restoration

In addition, routine X-rays are used to assess areas that cannot be seen clinically. X rays allow your dentist to check:

  • The seal between the onlay and the tooth

  • Early signs of decay beneath the restoration

  • The health and stability of the root canal

Without X-rays, problems may only become visible once significant damage has already occurred. For this reason, regular reviews are not optional for root canal-treated teeth, even if the tooth feels completely comfortable and symptom-free.

Your treatment guarantees often depend on following your dentist's advice to attend regular check-ups. Make sure you know how often your dentist recommends seeing you to assess your onlays. It can range from every 3 months to every 12 months, depending on your risk status.

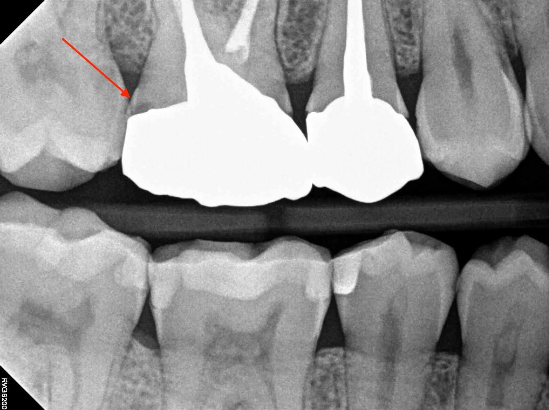
If Your Tooth Has Had a Root Canal

If your onlay has been placed on a tooth that has previously had a root canal treatment, ongoing monitoring is extremely important. A root canal-treated tooth no longer has a living nerve inside it. This means it cannot feel pain in the normal way.

Because of this:

  • Decay may not cause discomfort

  • Problems can develop silently and warning symptoms are often absent

A tooth can appear completely fine on the outside while decay progresses underneath an onlay.

The red arrow shows a gap between this crown and the tooth which can indicate decay - The patient will not feel anything becuase the tooth has no nerve

Why Onlays Sometimes Come Off - And why this can actually be a good thing

Patients are often worried if an onlay becomes loose or comes off, but this is not always a sign that something has gone wrong. Onlays are designed to be strongly bonded while remaining conservative. This means they are intended to protect the tooth without completely covering it like a crown. Because of this design, onlays can sometimes come off more easily than crowns (especially if the bite is incorrect).

Why this is not necessarily a failure

If a problem develops underneath an onlay, such as:

  • Tooth decay

  • Bite overload

  • Breakdown of the bonding

The onlay will often loosen or come off first. This acts as an early warning sign. In many cases, the tooth underneath can be cleaned, repaired, and the onlay rebonded or replaced.

How does this compare to crowns

Crowns are firmly held in place and cover the entire tooth structure, which means that they are bonded to the tooth as well as held in place mechanically due to their shape. While this makes them durable, it also means:

  • Decay can remain hidden underneath for years

  • Problems may not cause symptoms since the crown stays in place

  • The tooth can fracture before issues are detected

In these situations, the damage is often far more advanced. In contrast, an onlay coming off early can actually help preserve the tooth long term.

As a dentist, I would rather your restoration fail than your tooth.

How Long Should an Onlay Last?

With good care, a healthy tooth restored with an onlay can last a long time. On average, a well maintained onlay can last 10 to 15 years or more. Longevity depends on several important factors, including:

  • Good daily cleaning and flossing

  • A stable and well-balanced bite

  • Avoiding heavy grinding forces

  • Regular dental check-ups

  • Routine x rays to monitor the margins

Onlays do not usually fail suddenly. Most problems develop gradually and can be managed early if they are detected in time. Looking after the onlay properly and attending regular reviews gives it the best possible chance of long-term success.

When to Contact Your Dentist

Please contact your dentist if you notice any of the following:

  • The bite feels high, uneven, or different to before

  • Pain or sensitivity that is worsening rather than improving

  • Sharp pain when biting

  • Deep throbbing or aching pain

  • Sensitivity lasting longer than two to three weeks

  • Food constantly trapping around the onlay

  • Floss will not pass through or keeps tearing

  • Soreness or swelling of the gum around the tooth

  • The onlay feels loose or comes off completely

If something does not feel right, it is always better to have it checked early. Small adjustments or early intervention can often prevent more complex treatment later.

 

Key Takeaways About Looking After Your Dental Onlay

  • An onlay is a strong and conservative way to restore a weakened tooth

  • Eat gently at first and avoid very hard or sticky foods for the first 24 hours

  • Normal biting contact is fine, but grinding or sliding forces are the highest risk

  • If your bite feels even slightly high after a week, have it checked

  • Mild sensitivity is common and should improve over one to two weeks

  • Flossing and interdental cleaning are essential to protect the margins

  • Root canal-treated teeth especially, require regular reviews and X-rays

  • Onlays may come off more easily than crowns, which can actually help protect the tooth

  • With good care, an onlay can last 10 to 15 years or longer

  • Regular dental check-ups are key to long-term success

If you have any concerns at all, please contact your dental team. Early review is always better than waiting.

Dr Zaeem Jafri BDS

Zaeem is a general and cosmetic dentist and the founder of Nova Smiles. He is also the clinical director of a private dental practice in London carrying out general and cosmetic work.

https://novasmiles.co.uk/dr-zaeem-jafri
Previous
Previous

Best Electric Toothbrushes for Sensitive Teeth (UK) 2026

Next
Next

You Have Had a Deep Filling ‘Close to the Nerve’ - What This Means and What to Expect