Overhanging Fillings Explained - The Hidden Cause of Bleeding Gums

If you’ve ever noticed bleeding when flossing in the same spot every time, or food constantly getting stuck between two teeth, it’s easy to assume your brushing or flossing isn’t quite right. But in many cases, the issue isn’t your technique at all.

It can come down to the shape of a dental filling in the area.

Fillings are designed to restore teeth after decay, but if the edges aren’t smooth and well-contoured, they can actually make it harder to keep the area clean. Over time, this can lead to plaque build-up, gum inflammation, pain, and even further decay.

One of the most common culprits we see in practice is something called an overhanging filling.

In this guide, we’ll explain exactly what that means, why it affects your gum health, and what you can do to fix it.

Read more about fillings in general here

The margin of the filling here is stained and visible

What Is a Filling Margin?

Every filling has a margin, which is simply the point where the filling meets your natural tooth. In an ideal situation, this join should be:

  • Smooth

  • Flush with the tooth surface

  • Carefully shaped to follow the natural contours of your tooth

When this is done well, you shouldn’t be able to feel where the filling starts or ends with your tongue. More importantly, it allows you to clean the area effectively with brushing, flossing, and interdental brushes.

However, if the margin is not properly finished, it can become:

  • Rough – creating a surface where plaque can cling more easily

  • Overhanging – where excess filling material extends beyond the natural shape of the tooth

These small imperfections might seem insignificant, but they can have a big impact on how easy it is to keep the area clean, especially between the teeth and around the gums.

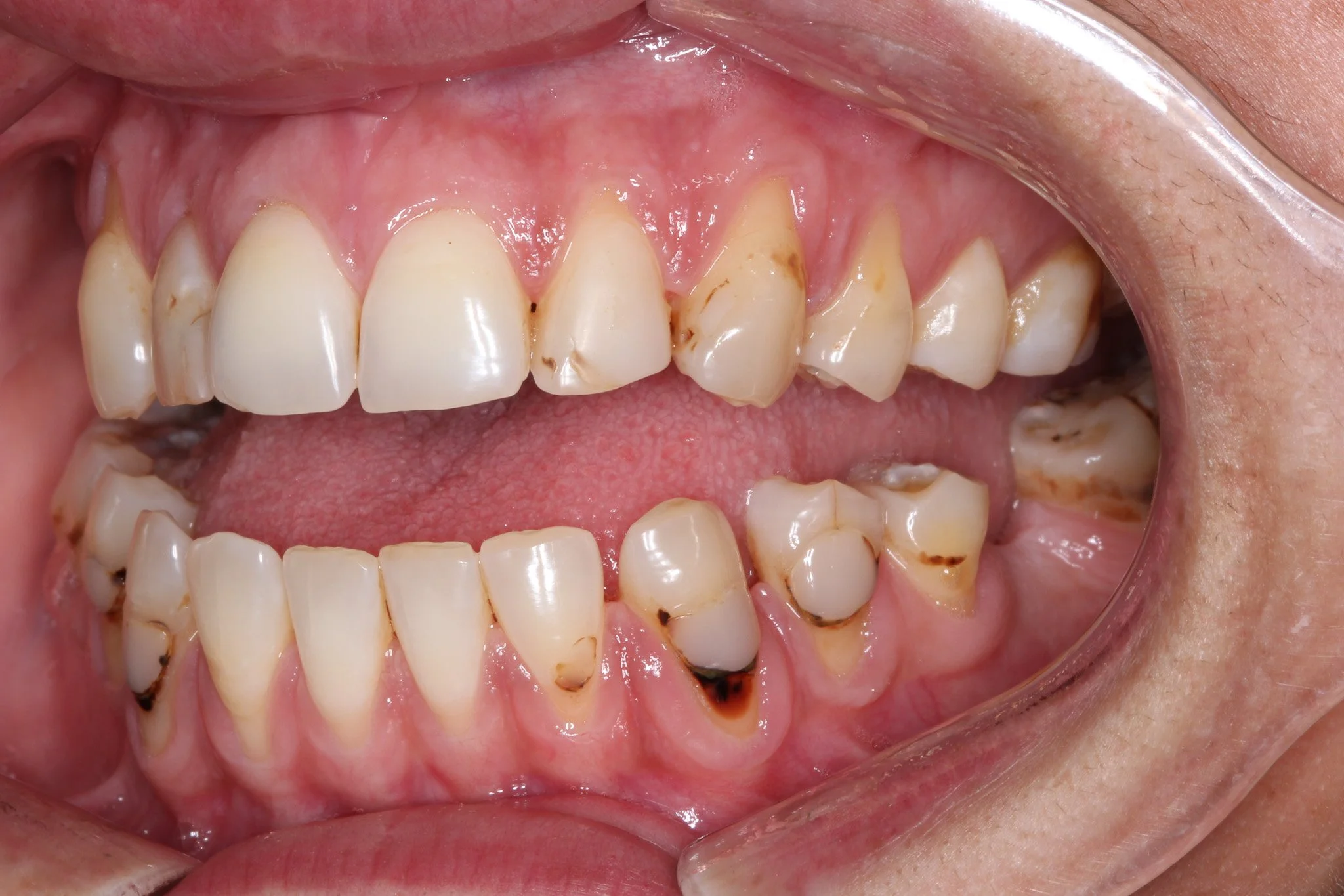
Visible filling margins that have gathered a lot of staining

What Are Overhangs and Rough Margins?

An overhanging filling is exactly what it sounds like. It’s when part of the filling extends beyond the natural shape of the tooth, usually into the space between two teeth or slightly under the gum.

Instead of a smooth transition, you end up with a small ledge or lip that shouldn’t be there.

A rough margin, on the other hand, is when the edge of the filling isn’t fully polished or contoured. It may not visibly stick out, but the surface is uneven, making it easier for plaque and bacteria to cling to it.

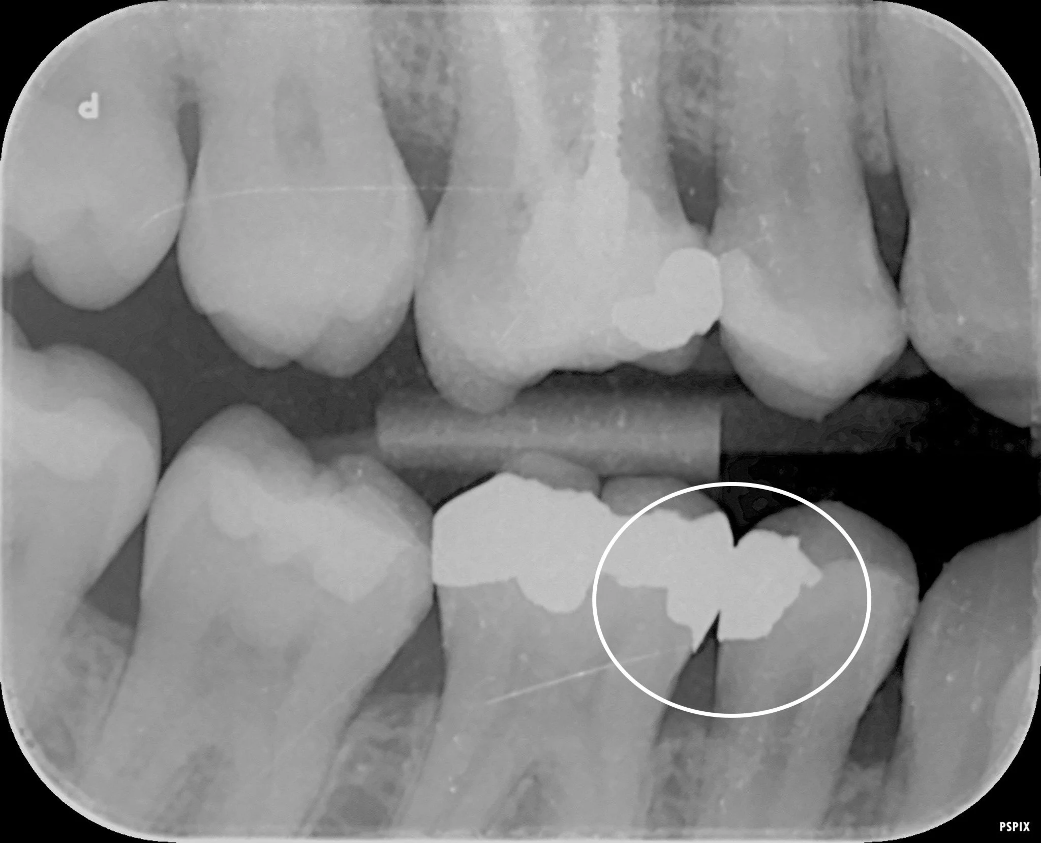
An x-ray showing a big overhanging filling

Why does this happen?

Even with good dentistry, these issues can occur, particularly in more challenging situations:

  • Fillings between teeth - These areas are harder to see and access, making precise shaping more difficult

  • Deep decay below the gumline - When a filling extends below the gum, visibility and access are limited

  • Moisture control challenges - Saliva and bleeding can affect how accurately a filling is placed and finished

  • Anatomy of the tooth - Some tooth shapes naturally make achieving a perfect contour more difficult

The key point is this: even small imperfections at the edge of a filling can significantly affect how well you can clean that area day to day.

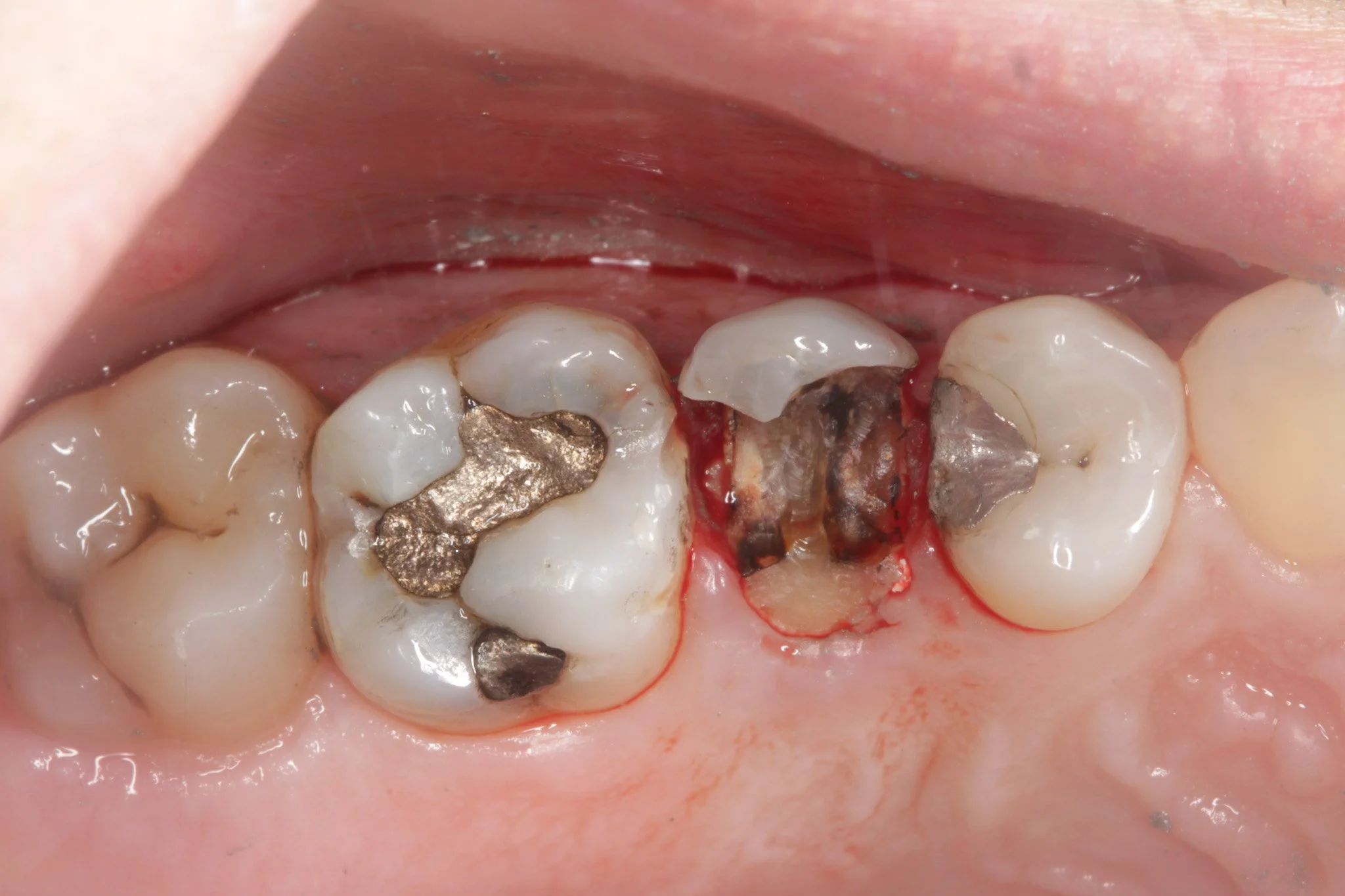
A deep metal dental filling

Removing the old filling and decay can cause irritation of the gums and bleeding

Isolating the margins with a matrix band to keep them dry

Why This Is a Problem

At first glance, a slightly rough filling or small overhang might not seem like a big issue. But in the mouth, even tiny changes in shape can have a significant impact over time.

  • Plaque Trapping - Overhangs and rough margins create small sheltered areas where plaque can accumulate. These areas are difficult, and sometimes impossible, to clean properly with a toothbrush, Floss or Interdental brushes (like TePe). As a result, bacteria are left undisturbed right next to the gum.

  • Gum Inflammation and Bleeding - When plaque sits along the gumline, the gums become irritated and inflamed. This often shows up as bleeding when flossing or brushing, swelling around a specific tooth or tenderness in one localised area.

  • Progression to Gum Disease - Gum inflammation can progress beyond simple gingivitis. In some cases, it can lead to localised periodontal disease and breakdown of the supporting bone around the tooth. This is often very specific to the area around the problematic filling.

  • Increased Risk of Decay - Plaque doesn’t just affect the gums; it also increases the risk of decay. Overhangs and rough margins can trap food and bacteria and make cleaning ineffective, creating an environment where new decay can form around the filling. This is one of the main reasons fillings sometimes need to be replaced earlier than expected.

The takeaway is simple: A filling that isn’t smooth and cleansable can quietly cause ongoing damage, even if it feels “fine” at first.

What a Good Filling Should Feel Like

A well-made filling shouldn’t just look good on an X-ray; it should feel comfortable and be easy for you to keep clean every day. In most cases, you shouldn’t really notice it at all.

Signs of a healthy, well-contoured filling:

  • It feels smooth when you run your tongue over it

  • Floss passes through without catching or shredding (a slight clicking feeling when you pass floss through is perfect)

  • You can clean between the teeth easily with floss or TePe brushes

  • Food doesn’t consistently get stuck in the same area

  • The gums around it look healthy and don’t bleed persistently

Signs something might not be quite right:

  • Floss catches, tears, or snaps in one specific spot

  • You notice a rough edge or ledge with your tongue

  • Food packs between the same teeth repeatedly

  • The gum in that area bleeds every time you clean it

  • There’s ongoing tenderness or inflammation around one tooth

These signs don’t always mean there’s a serious problem, but they are a strong indication that the area may not be as cleanable as it should be. And when something is difficult to clean, it almost always leads to issues over time.

An x-ray showing 2 fillings with good flush smooth margins and a healthy contact point

Why Deep Fillings Are More Challenging

Not all fillings are straightforward. When decay is shallow and above the gumline, it’s usually possible to create a very smooth, well-contoured margin that’s easy to clean. However, when a cavity extends below the gumline, things become significantly more complex.

  • Limited visibility and access - Dentists are working in a very small space to begin with. When the margin of a filling sits under the gum, it becomes harder to see clearly and position instruments accurately to fully refine and polish the edges

  • Moisture control - For a filling to bond properly, the area needs to be kept dry. Below the gumline, this is more difficult due to: Saliva, crevicular fluid and bleeding from the gums. Even with good technique, this can affect how precisely the filling can be finished.

  • Finishing and polishing limitations - Creating a smooth, cleansable margin requires proper finishing and polishing. When margins are deep, standard instruments may not reach the margin effectively.

Even when a filling is placed carefully, deep margins are inherently more difficult to perfect. That doesn’t mean the treatment is wrong, but it does mean that these areas need closer monitoring, and sometimes, an alternative approach may be more predictable long-term.

Treatment Options for Problematic Fillings

If a filling has a rough margin or an overhang, the goal is simple: make the area smooth, cleansable, and gum-friendly again. The right approach depends on how deep the margin is and how accessible the area is.

Replacing the Filling

In many cases, the simplest solution is to remove and replace the filling. This allows the dentist to:

  • Correct the shape and contour

  • Remove any overhangs

  • Create a smooth margin that is easier to clean

For more accessible areas, this is often very effective and minimally invasive.

Inlays and Onlays

When the margin of a filling extends deeper below the gumline, a direct filling may not be the most predictable option. In these cases, inlays or onlays can be a better long-term solution.

These are:

  • Custom-made porcelain restorations (usually made in a lab)

  • Designed with very precise margins on models of your teeth

  • Cemented into place rather than built directly in the mouth

They allow for:

  • Better control over the shape and contour

  • Improved cleansability

  • A more predictable result in difficult areas

More information about onlays

Managing the Gum (in some cases)

If the margin sits too far below the gumline, it may not be possible to create a cleanable edge without addressing the gum itself. In certain cases, this might involve:

  • Minor gum recontouring

  • Or a small surgical procedure to improve access

This helps bring the margin into a position where it can be properly finished and maintained.

When Should You Get It Checked?

It’s not always obvious that a filling is the cause of a problem, especially as these issues tend to develop gradually. However, there are a few clear signs that are worth getting assessed:

  • Persistent bleeding in one area - If your gums bleed every time you floss or brush in the same spot, while the rest of your mouth is fine, this is a strong indicator that something local is going on.

  • Food constantly getting stuck - If you’re regularly picking food out from between the same two teeth, it may be due to the shape or contour of a filling rather than just spacing.

  • Floss catching or shredding - Floss should glide smoothly between your teeth.

  • A rough or bulky feeling - If something doesn’t feel quite right when you run your tongue over a filling, it’s worth having it checked.

  • Ongoing gum irritation - Swelling, tenderness, or discomfort around one tooth, especially if it doesn’t improve with good cleaning, can indicate that the area isn’t fully cleansable.

If an area is consistently difficult to clean, it’s worth investigating. Small issues are much easier to correct early, before they lead to gum disease or further decay.

Conclusion

Overhanging or rough fillings are a common but often overlooked cause of bleeding gums, food trapping, and ongoing irritation.

While they may seem minor, these small imperfections can make a big difference to how easy it is to keep your teeth and gums healthy. Over time, areas that are difficult to clean are far more likely to develop gum problems or further decay.

A well-made filling should feel smooth, comfortable, and easy to maintain. If it doesn’t, it’s worth having it assessed.

Have a Concern? Speak to our online Dentists

If you’ve noticed persistent bleeding, floss catching, or an area that just doesn’t feel quite right, it’s always better to get it checked early. At Nova Smiles, our online dentists can review your concerns, answer your questions, and guide you on the best next steps. Whether you’re unsure about a filling or just want peace of mind, we’re here to help.

👉 Get in touch with one of our online dentists today using this form

Someone from the team will be in touch within 24 hours

Dr Zaeem Jafri BDS

Zaeem is a general and cosmetic dentist and the founder of Nova Smiles. He is also the clinical director of a private dental practice in London carrying out general and cosmetic work.

https://novasmiles.co.uk/dr-zaeem-jafri
Previous
Previous

Waterpik vs Philips Sonicare Water Flossers: Full Comparison Review

Next
Next

Holistic Dentistry: Looking at Your Mouth as Part of the Whole Picture