Broken Fillings: Why You Shouldn’t Ignore Them

A broken filling is one of the most common things we see in practice. Sometimes it’s obvious: a chunk has come off, or something feels sharp. Other times, it’s much more subtle, and you may only notice a slight change when you run your tongue over the tooth.

Either way, it’s not something to ignore and in this guide, we’ll explain:

  • How a filling actually works

  • What are the consequences of being broken filling are

  • What you can do about it

  • How you can make sure your dentist isn’t ripping you off

Written by Dr Zaeem Jafri BDS

A broken filling, left untreated and now the tooth has fractured

What does a filling actually do?

It’s worth starting quickly by explaining that a filling isn’t just there to superficially cover over a hole.

When a tooth decays, the outer enamel is breached, and bacteria move into the softer inner layer, called dentine, and eventually into the tooth's nerve. Once we remove the decay, the filling has two key jobs:

  • Rebuild the structure of the tooth so you can bite normally again, and the tooth’s strength is restored

  • Seal the cavity left by the decay to prevent bacteria from getting back inside (this is extremely important)

If that seal is lost or the structure is compromised, the tooth becomes vulnerable to fracturing or getting decay again.

A tooth with decay

The decay is cleared away, leaving a hole

The hole is filled with a tooth-coloured composite resin

What can go wrong with a filling?

Over time, fillings can fail. The most common issues we see are:

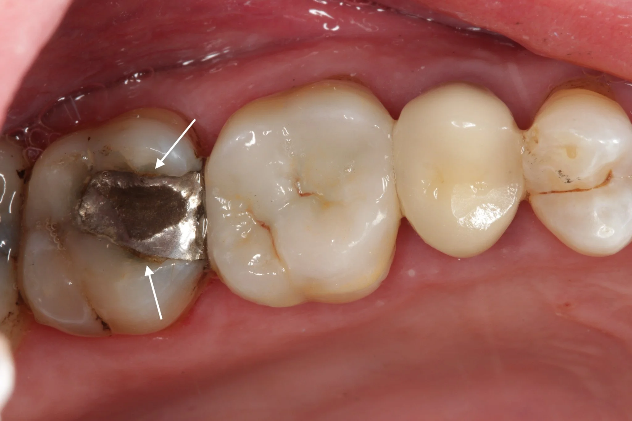
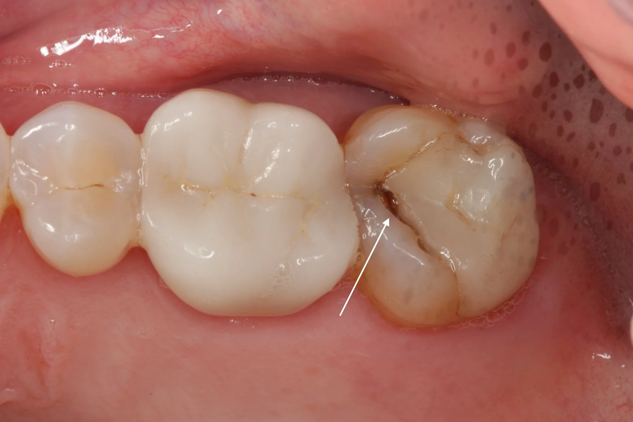
  • Fractured fillings - This is when part of the filling breaks under pressure. It might be a small chip or a larger section missing.

  • Chipped or worn edges - Even if the filling hasn’t fully broken, small chips can create weak points and rough areas where bacteria can accumulate.

  • Leaking margins - This is less visible but just as important. The edge where the filling meets the tooth can open slightly over time, allowing bacteria to seep in.

  • Debonding - This is when the filling loses its seal and starts to separate from the tooth. It may still look intact, but the bond underneath has failed, creating space for bacteria to enter and potentially cause decay.

Fillings don’t only need replacing if they are broken; sometimes, overhanging and rough fillings also need to be replaced, and you can read more about that here.

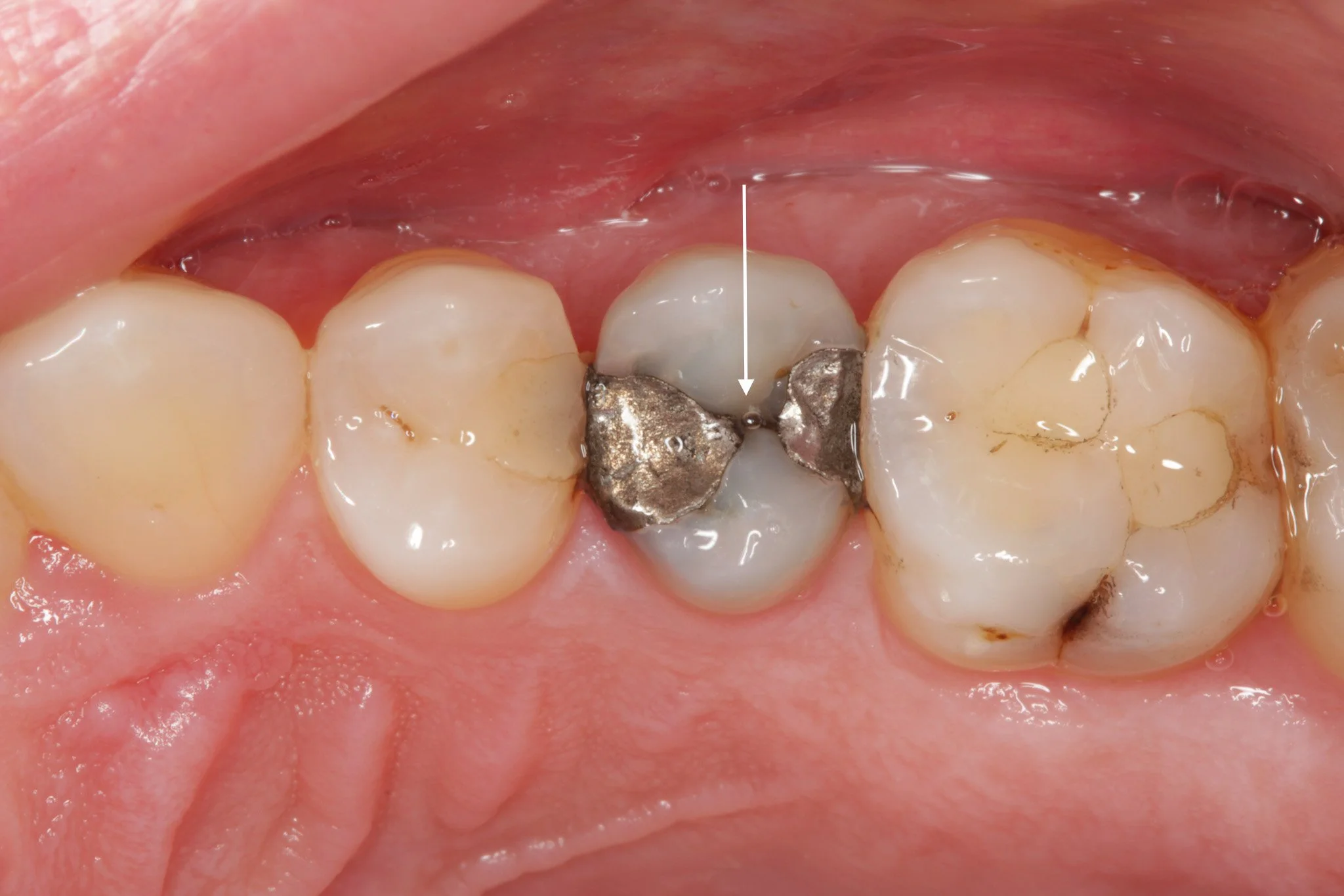
There is a gap at the amrgin where the fillings meets the tooth, allowing bacteria to gather and decay the tooth underneath

Why does it matter?

There are two main risks when a filling breaks or starts to fail:

  • Loss of structural integrity - The filling is no longer properly supporting the tooth. This increases the risk of further fracture, sometimes of the tooth itself.

  • Risk of secondary decay - Once bacteria can get underneath or around a filling, decay can start again. This is often hidden and can progress without you realising.

Essentially is a broken filling is not repaired, the tooth around it can break or the decay can get deeper leading to a bigger filling or worse, nerve death in the tooth.

It doesn’t hurt… so is it really a problem?

This is a really important point. If there’s no pain, it can mean one of two things:

  • The issue is still small and shallow - This is the ideal scenario. It means you’ve caught it early and can fix it simply.

  • The nerve is already affected or dead - In this case, the tooth may not feel anything, even if the problem is more advanced.

So, the absence of pain doesn’t mean there is no problem. In fact, fixing the filling earlier rather than later is going to be easier, quicker, cheaper and require less drilling away of your natural tooth structure.

Why acting early matters

The earlier you deal with a broken or failing filling, the better the outcome tends to be. Small problems in dentistry rarely stay small for long.

  • Simpler treatment - Early issues are usually limited to the filling or a small area of the tooth, meaning a straightforward replacement is often all that’s needed. Left untreated, this can progress into more complex procedures.

  • Lower cost - Replacing a small filling is relatively inexpensive. Delaying treatment can lead to larger restorations, crowns, or root canal treatment, which are significantly more costly.

  • Reduced risk of complex procedures - As decay progresses towards the nerve, the likelihood of needing root canal treatment increases. Significant structural loss may also require a crown. Early intervention helps avoid this.

  • Preserves natural tooth structure - The earlier a problem is treated, the more conservative the approach can be. This helps retain as many healthy teeth as possible, which is best for long-term outcomes.

  • Prevents progression of decay - Small gaps or defects allow bacteria to enter and spread. Acting early prevents decay from progressing deeper into the tooth.

  • Avoids pain and symptoms - Early-stage problems are often painless. Waiting until discomfort develops usually means the issue has advanced and requires more involved treatment.

How do we fix a broken filling?

In most cases, fixing a broken filling is straightforward, and the procedure is pretty much the exact same as doing the filling in the first place.

  1. The tooth is numbed so you don’t feel any pain

  2. The old filling is removed by drilling it away

  3. Any decay in the tooth underneath is cleaned out

  4. A new filling is placed and shaped

When a filling isn’t enough

If the filling is very large or the tooth has lost significant structure, your dentist may recommend an onlay or an inlay instead.

These are stronger, custom-made ceramic restorations that provide better support and reduce the risk of future tooth fracture.

Can you trust your dentist’s advice when multiple fillings need replacing?

We understand this can feel overwhelming. It’s not uncommon for patients to question whether all of the treatment is really necessary, especially when you’ve had a check-up at a new dentist, thinking you had no issues, and they hand you a treatment plan with a large bill suggesting replacing several fillings.

Trust matters, and you should feel confident in the advice you’re being given. A good dentist should always be able to explain clearly which fillings need replacing and why.

If you are unsure about the advice you are being given, here are a few things you can do:

  • Ask your dentist to point out exactly on the X-rays where the broken fillings are (not all broken fillings are visible on a x-ray)

  • Ask your dentist to take some clinical photographs and show you the fillings that need replacing

  • Ask your dentist to show you your intra-oral scans and 3D models, and point out where the broken fillings are

Note: Not all dentists routinely take clinical photographs and 3D scans of your teeth; this is more common in modern high-end dental practices.

When you can see the problem for yourself, it becomes much easier to understand the reasoning behind the recommendation.

If you’re still unsure, that’s completely fine. Firstly, it actually does help to be honest with your dentist and tell them you are not convinced or you are unsure about committing to treatment. If money is a factor, your dentist may be able to prioritise which fillings are the worst, and you can change them over time in order of priority.

You also have every right to seek a second opinion, either:

  • With another dentist in person

  • Or through an online consultation where you can share photos and x-rays

At Nova Smiles, our dentists are always happy to provide a second opinion and talk you through your options in a clear, unbiased way.

The goal isn’t to pressure you into treatment. It’s to help you make an informed decision about your own oral health.

Final thoughts

A broken filling might not feel urgent, especially if it isn’t painful, but it’s one of those things where waiting tends to make things worse.

If you’ve noticed something doesn’t feel quite right, or you’ve lost part of a filling, it’s always worth getting it checked sooner rather than later.

More Articles Related to Fillings

Dr Zaeem Jafri BDS

Zaeem is a general and cosmetic dentist and the founder of Nova Smiles. He is also the clinical director of a private dental practice in London carrying out general and cosmetic work.

https://novasmiles.co.uk/dr-zaeem-jafri
Previous
Previous

Best Toothpaste for Sensitive Teeth: What Actually Works?

Next
Next

Laifen Wave Pro Review: A Dentist's Thoughts (2026)